标准禁食减压后,仍发生反流误吸?高龄胃癌患者的麻醉管理反思
作者:李果
单位:西安国际医学中心医院麻醉科
围术期反流误吸是指在全身麻醉诱导时、手术过程中或术后,患者胃内容物被动反流或患者主动呕吐,由于缺少有效的咽喉部保护反射,导致胃内容物进入声门以下的呼吸道,造成气道梗阻、肺不张以及吸入性酸肺综合征(又称Mendelson综合征)等。反流误吸常导致严重的呼吸系统损伤,有高度致命危险,一直都是麻醉工作中被高度关注的严重不良事件之一[1~2]。同时也是全身麻醉的严重并发症之一,可引发急性呼吸窘迫综合征、多器官功能衰竭等,致死率较高。
虽然相关指南规范了麻醉前禁食禁饮时间,但仍有一定比例的择期手术患者在全身麻醉过程中发生反流误吸,其中急诊手术患者反流误吸的发生风险更高。本文报道1例诱导期间发生反流误吸患者的处理,旨在为此类患者的全身麻醉管理提供参考,以期降低围术期发生反流误吸的风险。
临床资料
一、一般资料
患者,男性,76岁,身高174 cm,体重70 kg,主诉以“吞咽困难”来院。患者2周前无明显诱因出现吞咽困难,呈进行性,伴反酸嗳气,伴腹胀腹痛,伴乏力消瘦。无胸闷气短头晕,无发热黄疸,无呕血。2025年6月27日常规病理示:“胃窦”黏膜内可见中-低分化腺癌;现患者为进一步诊治,门诊以“胃癌伴出血”收治入院。病程中患者神志精神可,饮食差,睡眠不佳,小便少,黑便,体重较前减轻。
既往胃穿孔修补术后4余年,肺占位性病变4余月,未予治疗;否认“高血压、糖尿病、肾脏疾病”等慢性病史,否认“肝炎、结核”等传染病史,否认食物、药物过敏史,否认外伤史。个人史:否认冶游、吸烟、饮酒史。家族史:否认家族心脏病病史。
二、检查
体格检查:体温36.4℃,心率109次/min,呼吸18次/min,血压129/56 mmHg(1 mmHg=0.133 kPa),患者无明显胸闷、呼吸困难及呼吸暂停等上呼吸道梗阻症状,Mallampati分级Ⅱ级,张口度3横指,甲颏距离>6 cm,头颈活动正常,心肺功能未见明显异常。双肺呼吸音粗,未闻及明显干湿啰音。腹软、无抵抗,无压痛、反跳痛,腹部可见纵行手术瘢痕。术前实验室检查:血常规:血红蛋白(HGB)76 g/L↓,红细胞压积(HCT)23.2%↓,超敏C反应蛋白(HsCR)52.19 mg/L↑,炎症指标:降钙素原(PCT)0.190 ng/ml↑,白介素-6(IL-6)65.35 pg/ml↑,肝肾功能、凝血功能等均未见明显异常。
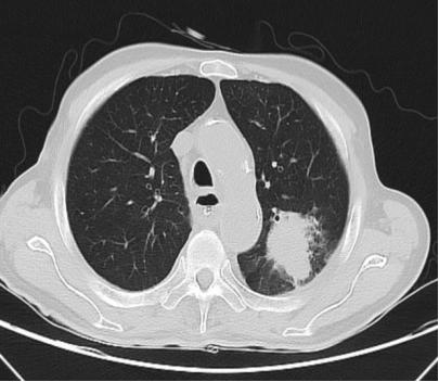
胸部CT示(图1):左肺上叶占位性病变,考虑肺癌可能,胃窦部胃壁增厚并异常强化;6月27日电子胃十二指肠镜示(图A、B、C):胃角、胃窦变形,表面发红、粗糙、肿胀,局部可见深凹陷溃疡病变,近幽门宫腔狭窄,镜身无法通过。
三、诊断与鉴别诊断
(1)胃癌伴出血cT3N3Mx;(2)幽门梗阻;(3)肺占位性病变(考虑恶性);(4)中度贫血。
四、治疗
1.麻醉诱导
术前长期(>7 d)流食,禁食>3 d,禁饮>8 h,给予胃肠减压,带胃管营养管入室后监测心电图(ECG)、血压、脑电双频指数(BIS)和血氧饱和度(SpO2),血压119/62 mmHg,心率103次/min,BIS 97,SpO2 96%。胃管吸引出黑褐色胃内容物约300 ml,利多卡因局麻下行右侧桡动脉穿刺置管测压,有创血压136/58 mmHg,预充给氧10 min,采用静吸复合麻醉,术前静脉给予甲强龙40 mg,依次静脉注射瑞马唑仑8 mg、依托咪酯8 mg、舒芬太尼20 μg、罗库溴铵50 mg,患者突然口腔流出大量黑褐色液体,无呛咳,迅速将患者头偏向右侧,立即使用大口径吸引管迅速吸引,充分负压吸引并紧急行气管插管,当喉镜置入口腔内时,见有大量黑褐色液体(胃内容物)反流,边吸引边插管,顺利插入7.5#可视加强丝气管导管,立即给氧控制呼吸,并进行气管内吸引,同时行电子支气管镜检查,气管内可见少量黑褐色液体,气管内未见其他异物,从发生呕吐到气管插管期间患者生命体征平稳,确认导管位置和深度后,固定在距门齿24 cm处,接麻醉机行机械通气,初始通气设置:吸入氧浓度(FiO2)100%,随后电子支气管镜行气管及支气管内吸引。再次负压吸引胃管吸出黑褐色胃内容物约1400 ml,吸痰管再次吸引口腔、无法吸出气管深处褐色分泌物,电子支气管镜经气管导管内吸引,重复操作以上步骤3次后,根据监护调节潮气量6~8 ml/kg、呼吸频率12~14次/min、将呼吸末二氧化碳分压(ETCO2)维持在35~45 mmHg,BIS维持在40~60。
2.麻醉维持
采用静吸复合麻醉,术中泵注瑞芬太尼0.1~0.15 μg/(kg·min),右美托咪定0.2~0.4 μg/(kg·min),吸入七氟醚1.0%~2.5%维持,间断追加罗库溴铵,术中根据手术刺激强度及血流动力学变化、脑电双频指数(BIS)调节药物泵注速度,维持麻醉深度适宜。手术开始30 min后通气设置:FiO260%。术中气管导管可视显示屏可见气管内分泌,吸痰管无法吸出,电子支气管镜负压吸引、膨肺,气管可视显示屏显示气管内有分泌物,重复以上操作直至手术结束。
3.麻醉手术
麻醉满意后,9月16日全麻行“胃部分切除伴胃空肠吻合+肠粘连松解术”,手术时间2 h,术中探查可见肿瘤位于胃窦小弯与肝被膜紧密粘连,部分突出浆膜层,幽门环及胃窦形成致密肿物,完全梗阻,周围淋巴结肿大。术中生命体征平稳,因多次反复吸痰,给予地塞米松10 mg iv,术中氧合100%,动脉血气pH 7.39,二氧化碳分压(PCO2)42.8 mmHg,氧分压(PO2)193 mmHg,Na+ 136 mmol/L,K+ 4 mmol/L,Ca2+ 1.1 mmol/L,乳酸(Lac)0.5 mmol/L,总血红蛋白(tHb)6.7 g/dl,输入晶体液1300 ml,代血浆1000 ml,红细胞4 u,冰冻血浆200 ml,出血350 ml,尿量150 ml。诱导期间患者反流误吸,术前左肺上叶占位性病变,术毕带气管导管返ICU进一步监护治疗。
五、治疗结果、随访及转归
术后2 h 30 min待患者意识恢复,能完成指令动作,动脉血气分析:pH 7.46,PCO233 mmHg,PO2 152 mmHg,Na+ 138 mmol/L,K+ 3.8 mmol/L,Ca2+ 1.04 mmol/L,Lac 1.5 mmol/L,tHb 9.2 g/dl,脱机后氧合不低于95%予以拔出气管导管,拔管顺利。患者无发热,除伤口稍微疼痛外,余无明显不适。急查血常规及炎性指标:HGB 92 g/L,红细胞压积(HCT)29.2%,HsCR 66.02 mg/L,白细胞7.85×109/L,中性粒细胞计数6.49×109/L↑,淋巴细胞计数0.91 ×109/L↓,PCT 0.342 ng/ml↑,IL-6 64.08 pg/ml↑。术后第1天返回普通病房,患者术后住院13 d,其间复查血常规、凝血、动脉血气、电解质等,给予头孢哌酮舒巴坦钠抗感染、质子泵抑制剂(奥美拉唑)抑制胃酸分泌、输液等对症治疗,出院时一般情况良好,饮食、睡眠好,无咳嗽、咳痰、气促,无呼吸困难等不适。
讨论
围术期胃内容物误吸入肺是一种罕见但危及生命的严重并发症,可导致高达75%死亡率[3]。误吸多发生在麻醉诱导、气管插管前和麻醉苏醒期。其中,麻醉诱导在麻醉过程中是最危险、最关键的阶段,若发生呕吐误吸或反流误吸,可致患者出现缺氧、发绀、喉痉挛、支气管痉挛、肺水肿、肺部感染、心脏骤停等严重并发症[4]。
幽门梗阻是发生反流误吸的高风险因素,幽门梗阻导致胃内容物无法排入十二指肠,即使严格遵守禁食水时间,胃内仍可能存在潴留液,本例患者麻醉诱导前胃肠减压引流出约300 ml液体,诱导并插入气管导管后,又经负压吸引出约1400 ml黑褐色液体。持续的胃潴留会增高胃内压,损害食管下括约肌功能,极易发生反流。
本例患者麻醉管理的反思:(1)术前准备不足:胃肠减压时间不足。对于幽门梗阻患者,可能需要更长时间的持续胃肠减压,对于长时间的梗阻,术前建议在普通胃镜下吸引胃内容物再择期手术,而本例患者的胃镜检查于术前3个月前完成;(2)诱导过程存在缺陷:虽然诱导前从胃管吸引出黑褐色液体,未避免患者反流;诱导前虽进行了预充氧,但诱导时未采取患者特殊体位(头高脚低);(3)诱导方案过于自信:对于此类高危患者,清醒插管是最安全的选择,可在患者意识存在、气道保护反射完整的情况下确保气道安全。若选择快速诱导,应采取头高脚低位,慎重药物的选择,选择起效快的药物,给药后立即行气管插管。
麻醉过程中,特别是诱导期更容易发生反流甚至误吸,因此麻醉操作和管理过程中需要始终把预防反流误吸作为重点。本例患者,术前长期(>7 d)流食,禁食>3 d,禁饮8 h,并实施了胃肠减压与持续负压吸引,同时留置营养管以保障营养摄入,因此麻醉医生术前评估及诱导时过于自信,虽然给予快速诱导,但未能避免反流误吸的发生。
本例患者合并幽门梗阻,入院后严格禁食水,给予静脉营养,持续胃肠减压。麻醉医生不能过分“信任”外科的诊断,必须亲自检诊并结合病史提供可靠的麻醉方案,必要时应与外科商讨意外情况的可能,并有针对性地做出预防才能最大程度地减少并发症的发生。
本例为高龄患者,既往有胃穿孔修补手术史,幽门梗阻诊断明确,针对明确反流误吸的高危人群,应根据具体情况采取适当应对策略:(1)考虑行普通胃镜诊疗,明确胃内情况,并且针对胃内情况采取如吸净潴留液体等措施;(2)通过其他检查明确诊断,床旁胃部B超、腹部CT等检查提供相关诊断信息,提前明确胃内情况;(3)术前放置胃管并延长禁饮食时间,同时要注意备齐吸痰管、大口径吸引器、气管导管等应急物品器械;(4)术中应对措施:预充给氧,头高脚低位(如床头抬高30°),研究表明该体位有助于降低反流误吸发生率。
本例提示反流误吸高危人群,强调预防优于治疗;常规的禁食和快速诱导不足以保证安全。必须采取综合的预防策略:(1)充分的术前胃肠道准备(长时间胃肠减压,必要时普通胃镜吸引);(2)将清醒气管插管作为首选的麻醉方案,尤其是在胃管引流效果不佳或存在困难气道时;(3)若快速诱导,必须做到万全准备(粗吸引器、体位、经验丰富的团队)。
一旦发生反流误吸,误吸后处理核心:吸引、插管、通气,术后转入ICU进行呼吸支持及抗感染治疗[5],从而提高抢救成功率,避免严重并发症的发生。
利益冲突声明 所有作者均声明本研究不存在利益冲突
参考文献 [1]程智刚,王云姣,李靖怡,等.加强麻醉恢复室管理提高围术期患者安全[J].临床麻醉学杂志,2021,37(01):5-8. [2]陈佩军,陈亚男,何海平,等.胆道镜下钬激光碎石术治疗复杂肝内胆管结石麻醉误吸1例[J].南京医科大学学报(自然科学版),2017,37(11):1541-1542. [3]Warner MA,Meyerhoff KL,Warner ME,et al.Pulmonary Aspiration of Gastric Contents: A Closed Claims Analysis. Anesthesiology.2021 Aug 1;135(2):284-291. [4]Sato M,Horiuchi A,Tamaki M,et al.Safety and Effectiveness of Nurse-Administered Propofol Sedation in Outpatients Undergoing Gastrointestinal Endoscopy.Clin Gastroenterol Hepatol.2019 May;17(6):1098-1104.e1. [5]贾肜,王建功,张建峰,等.困难气道误吸处理1例[J].武警医学,2014,25(01):83-84.

评论

推荐内容